For years, the great debate between the ones with poor vision has been ongoing over which method of correcting your failing eyesight is truly better, having four eyes or having invisible four eyes. Some people wear one or the other almost exclusively, and some switch between the two regularly. In any case, I’m here to settle this in the Tale of the Tape.
Surviving the Elements

Glasses- You might need windshield wipers. Wet glasses are no fun. At all.
Contacts-Just a towel to dry your face
Advantage-Contacts
Time it takes to put them on

Glasses-Two seconds at the very most

Contacts-Anywhere from a minute to an hour,depending on your skill level
Advantage-Glasses
Colors
Glasses-They come in every color imaginable

Contacts-They come in every color imaginable
Advantage-Push
Shapes

Glasses-They come in any shape you can think of
Advantage-Glasses. The possibilities are endless!
Common Complaint
Advantage-Contacts
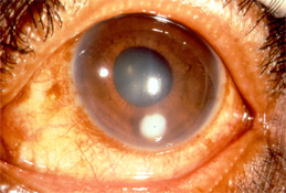
This Might Hurt

Glasses- If you sleep with them on overnight

Contacts-If you sleep with them in overnight
Advantage-Push. The reason being? Your glasses could break while sleeping and your eyes can look like the photo above if you sleep in them habitually, both are equally bad
Common Turn-On
Glasses-When the opposite sex takes them off to reveal those beautiful eyes of yours all to themselves (Damn,I love that!)
Contacts-The water to rinse them out every night after taking them out
Advantage-Glasses
Hidden Talents
Glasses-Hiding the fact that your eyes look very tired
Contacts-Hiding the fact that you have a vision problem
Advantage-Glasses. It’s okay if people know you have a vision problem.
Losing them…

Glasses- Can cost you hundreds of dollars if you lack a back-up pair

Contacts- Is no big deal, go grab another pair
Advantage-Contacts
Everyone’s big worry when first getting them
Glasses-Being afraid of what people will think of you wearing them
Contacts-People asking about where your glasses went
Advantage-Push
Life Without Them
Glasses-Looks blurry and odd

Contacts-Will be just fine,just put on your glasses! Contacts are something you have in addition to glasses, not something that replaces them entirely!
Advantage-Contacts
How Do They Look?

Contacts-They’re invisible (Although the Sports Geek can usually tell if someone has contacts in)
Advantage-Glasses. As my good buddy DJ Mappquest once said “Glasses are sexy!”
So there you have it,in a close win,the advantage goes to glasses. Cheer up,contacts, at least you can hide in shame in someone’s eyeballs. That’s a wrap on another edition of Tale of the Tape!










Wow, this is odd but I have been having problems with my eyes over the past couple days because of my contact wearing. Since I wore contacts for several months every minute that I was awake, my eyes are now dry and sensitive to the light. My eyes are unable to form natural lubricant/tears right now because I wore contacts so often. Thus, I am wearing glasses for a week or so and will hope that my eyes will stop hurting so much. Today my vote is for glasses!
Yeah,my vote also goes to glasses. I’ve been wearing them for 12 years and have not tried contacts. I have flirted with doing so but I don’t like the way I look without glasses, I hate the thought of poking myself in the eye daily. Also, I don’t want this question from friends: “What happened to your glasses?”. Everyone is so used to me wearing them and I feel so naked without them. It could be too hard of a transition if I ever attempted it,but you never know.